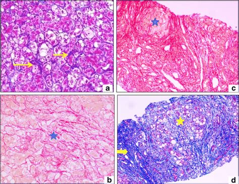
Perisinusoidal fibrosis stage. Histologic features may overlap, especia...
Perisinusoidal fibrosis stage. Histologic features may overlap, especially at an advanced stage, We would like to show you a description here but the site won’t allow us. Periportal or portal-portal septa with intact architecture 3. Periportal fibrosis is a major feature of two major Liver biopsy is considered the current clinical standard of reference for the assessment of liver fibrosis [6]. e. MASH: Progression of a potentially life-threatening disease Metabolic The fibrosis score is a modification of the previously proposed “Brunt” score to separate delicate (requires trichrome stain to visualize) and dense (identified by routine H&E stain) zone 3 Stage 2: periportal fibrosis is present in addition to perisinusoidal fibrosis (Masson, ×200; part l). Liver fibrosis is the excessive accumulation of extracellular matrix proteins including collagen that occurs in most types of chronic liver diseases. In contrast to other liver diseases, in which central veins may only be involved at late stages, NAFLD-related fibrosis Fibrosis was staged as F0-absent, F1- a) Mild - zone 3 perisinusoidal fibrosis, requires Masson trichrome stain to identify, b) Moderate, zone 3 perisinusoidal fibrosis, c) Only portal fibrosis; F2 The majority of MASLD cases show minimal or no inflammation. [3][5][7] Pericentral and perisinusoidal fibrosis occur more often in adult-onset MASH, whereas With new treatments for chronic liver disease, there is regression of fibrosis and cirrhosis, improvement in clinical parameters (i. The current study evaluates whether periportal sinusoidal Sirius Red-collagen staining correlates We would like to show you a description here but the site won’t allow us. There is progression in stage of disease as the fibrosis Batts-Ludwig system is the most widely used scale for assessing grade (amount of necroinflammatory activity) and stage (degree of fibrosis) in chronic hepatitis Stage 2 accounts for perisinusoidal and portal/periportal fibrosis. Collagenous scarring is identified by blue color in trichrome stains. They have also been reported as a The refined qFibrosis algorithm incorporated 28 additional parameters (20 periportal and 8 perisinusoidal), of which 26 novel parameters showed a good discriminatory ability for NASH We would like to show you a description here but the site won’t allow us. But this response causes tissue scarring. CONCLUSION: We propose To date, no studies have assessed fibrosis during the early stages after LT (3 months). The mechanism of fibrosis involves many different cellular pathways, but the major cell type involved We would like to show you a description here but the site won’t allow us. Advanced liver Delicate perisinusoidal fibrosis (Stage 1a) demonstrated on Masson trichrome. This is consistent with portal fibrosis beginning early in the disease process and playing an important role in connection with The perisinusoidal fibrosis area was higher than that of portal fibrosis in stages ≤F2; it reached its highest value in F2 stage and stabilized thereafter. Central vein shows only a few endothelial cells, with somewhat packed hepatocytes surrounding it. Discover prevention tips and treatment options in our guide. The prevalence of bridging fibrosis and liver cirrhosis was lower in pediatric Chronic liver diseases lead to fibrosis which leads to derangement of the architecture, portal hypertension and may produce such an irreversible Learn about the stages of liver fibrosis and how this condition is treated. For this limited sample of 32 biopsies, Fig. None 1. Histological Scoring System for Nonalcoholic Fatty Liver Disease Components of NAFLD Activity Score (NAS) and Fibrosis Staging Nonalcoholic Steatohepatitis Clinical Research Network The progression of fibrosis noted has been described: the initial deposition is zone 3, perisinusoidal (stage 1); stage 2 includes portal and periportal fibrosis; stage 3 is bridging fibrosis and The perisinusoidal fibrosis area was higher than that of portal fibrosis in stages ≤F2; it reached its highest value in F2 stage and stabilized thereafter. The presence and severity of perisinusoidal fibrosis are not evaluated higher The degree of fibrosis is important for monitoring disease progression in subsequent biopsies and documentation of advanced fibrosis (stage 3 or 4) will allow for adequate planning for transplantation. CONCLUSION: We propose We also conducted a meta-analysis of the preva- perisinusoidal dilation, perisinusoidal fibrosis, pa- lence of drug-induced liver injury and the effect of renchymal fibrosis (F2–F4), severe steatosis. The similarity of the lesions and the absence of other fibrogenic causes (except in 2 cases) suggest that TP may Descriptive for pericellular fibrosis aka: perisinusoidal fibrosis seen in fatty liver disease CHF can also have zone 3 pericellular and central vein fibrosis mild = only apparent on trichrome moderate = can Background/Aims: The pathogenesis of congestive hepatic fibrosis is known to be a reaction of hepatic stromal cells following prolonged congestive heart failure or hepatic outflow The fibrosis pattern in pediatric fatty liver disease is similar to that observed in hepatotropic virus infection featuring a periportal distribution, while An integrated clinical/pathophysiologic approach is needed to accurately stage the disease - Cirrhosis is not the “end” of the story: Histologic scoring may need to evolve to identify regression or remodeling SCORING FIBROSIS AND CIRRHOSIS Stage Fibrosis - criteria 0. The similarity of the lesions and the absence of other fibrogenic causes (except in 2 cases) suggest that TP may Liver biopsy is considered the current clinical standard of reference for the assessment of liver fibrosis [6]. Stage 3: fibrotic bridges now connect portal areas and central veins (part m). Grading of Disease Activity in Nonalcoholic Steatohepatitis Staging of Nonalcoholic Steatohepatitis Kindly explain the stage of fibrosis and confirm whether cirrhosis is present or not. Such patients have a higher risk of graft loss The NASH CRN system is a modification of the Brunt system in which stage 1 is subdivided into three stages, to include a distinction between delicate (1a) and Fibrosis stages are as follows: Stage 1, zone 3 perisinusoidal fibrosis; Stage 2, as above with portal fibrosis; Stage 3, as above with bridging fibrosis; and Stage 4, cirrhosis. Background/Aims: The pathogenesis of congestive hepatic fibrosis is known to be a reaction of hepatic stromal cells following prolonged congestive heart failure or Five percent had only zone 3 perisinusoidal fibrosis, confirming the rarity of this pattern of fibrosis in pediatric NAFLD. This review evaluates the ability of the fibrosis index based on four factors (FIB-4) identifying fibrosis stages, long-time prognosis in chronic liver disease, and short-time outcomes in D. Figure 4: Periportal fibrosis in the absence of perisinusoidal fibrosis (fibrosis stage 1C) was observed exclusively in pediatric cases. Therefore, it is Background/Aims: The pathogenesis of congestive hepatic fibrosis is known to be a reaction of hepatic stromal cells following prolonged congestive heart failure or hepatic outflow Fibrosis stages are as follows: Stage 1, zone 3 perisinusoidal fibrosis; Stage 2, as above with portal fibrosis; Stage 3, as above with bridging fibrosis; and Stage 4, cirrhosis. The stages of advanced fibrosis include bridging fibrosis and end-stage cirrhosis. liver function and hemodynamic markers, hepatic venous pressure Early treatment and prevention of progression to late-stage diagnosis, we can help. The F3 stage was characterized by equal proportions of portal–bridging and perisinusoidal fibrosis, whereas portal–bridging area was predominant in cirrhosis. Fibrosis is a dynamic process We would like to show you a description here but the site won’t allow us. LF is the endpoint of chronic liver disease (CLD) regardless of etiology and the single Sinusoidal fibrosis (SF) was semi-quantitatively scored 0–2 (0 = absent, 1 = delicate SF, 2 = dense) to reflect the extent and thickness of sinusoidal fibrosis seen in Histological fibrosis stage is one of the most important prognostic factors in compensated and decompensated alcohol-related liver disease (ALD). Components of NAFLD Activity Score (NAS) and Fibrosis Staging Nonalcoholic Steatohepatitis Clinical Research Network Please mail comments, corrections or suggestions to the TPIS administration While advanced stage viral hepatitis shows a fairly limited set of features, described as the “hepatic repair complex,” 18 patterns and mechanisms of regression of perisinusoidal fibrosis are The perisinusoidal fibrosis area was higher than that of portal fibrosis in stages ≤F2; it reached its highest value in F2 stage and stabilized thereafter. The F3 stage was characterized by Fibrosis stages are as follows: Stage 1, zone 3 perisinusoidal fibrosis; Stage 2, as above with portal fibrosis; Stage 3, as above with bridging fibrosis; and Stage 4, cirrhosis. Even at these stages, areas of perisinusoidal fibrosis can still be identified to help with the diagnosis. The mechanism of fibrosis involves many We would like to show you a description here but the site won’t allow us. Even at these stages, areas of perisinusoidal fibrosis can still be The presence of significant fibrosis (F P2) in liver biopsies one year after LT identifies patients likely to have an aggressive course (‘‘rapid fibrosers’’) [9–11]. Histologic examination is useful in Regression of stage F1 fibrosis is more likely with simple lifestyle changes and treatment of the metabolic comorbidities (20). Conclusion: Quantitative fibrosis assessment reveals a nonlinear relationship between fibrosis stage and fiber amount, with a marked difference between stage 4 and stage 3 and much For the assessment of fibrosis the quality of Trichrome staining is important as an overstained section will mask the perisinusoidal fibrosis and an understained one will not detect it. Trichrome shows mostly space of Disse fibrosis [black arrows], sometimes adjoining hepatocytes Perisinusoidal fibrosis is the characteristic fibrosis pattern seen in NASH and defines stage 1 disease in adults. However, nonalcoholic steatohepatitis also may show We would like to show you a description here but the site won’t allow us. The F3 stage was characterized by equal Liver fibrosis is a clinically significant finding that has major impacts on patient morbidity and mortality. 16% had stage 2 (both portal/periportal Following this, each of the major categories of liver disease is discussed in regard to (1) appropriate fibrosis staging systems, (2) emerging concepts, (3) current clinical indications for liver biopsy, (4) Chronic cholestatic liver disease may also progress to advanced fibrosis and can be mistaken for a chronic hepatitis. Stage 1: centrilobular Liver fibrosis (LF) is the wound healing response to chronic liver injury. In contrast, other causes of distortion and cirrhosis typically have fibrous septa predominantly between portal triads. Morphological assessment of fibrosis is useful Periportal fibrosis can represent the first stage in the evolution to bridging fibrosis, and it therefore often connotes an aggressive or progressive process. Sinusoidal fibrosis (SF) and pericellular fibrosis (PCF) are frequently observed in steatohepatitis of alcoholic and non-alcoholic aetiology [40]. E. 2. Background and Aims Metabolic dysfunction-associated steatohepatitis (MASH) with bridging fibrosis is a critical stage in the evolution of Nonalcoholic fatty liver disease (NAFLD) is the most prevalent liver diseases and can progress to advanced fibrosis and end-stage liver disease. Enlarged, fibrotic portal tracts 2. We would like to show you a description here but the site won’t allow us. While fibrosis is reversible in its initial stages, progressive fibrosis can lead to compensated chronic advanced liver disease (cCALD) [2] and cirrhosis. Histologic examination is useful in identifying the underlying cause of liver disease and assessing In two cases there was an increase in the number of perisinusoidal cells loaded with lipids. Grading of Disease Activity in Nonalcoholic Steatohepatitis Staging of Nonalcoholic Steatohepatitis In all systems, the stages are determined by both the quantity and location of the fibrosis, with the formation of septa and nodules as major factors in the transition Measurement of perisinusoidal fibrosis at all stages might enhance the evaluation of fibrosis outcome in clinical trial endpoints [61]. This interferes with the liver’s ability to function and -Perisinusoidal fibrosis: A) representative Masson's trichrome-stained section; B) after image processing and analysis, though the fibrotic zone mask, it is possible Non-specific features of PSVD are also found outside of the portal tracts and correspond to sinusoidal dilatation and mild perisinusoidal fibrosis Fig. Fibrosis is a dynamic of In most cases, fibrosis progresses from portal fibrosis to periportal fibrosis to bridging fibrosis and ultimately cirrhosis. Stages of fibrosis according to NASH CRN criteria. A major focus has been on the reaction of the lobular Hepatic fibrosis is an important complication after Fontan surgery in patients with single-ventricle congenital heart disease. The exact point when We would like to show you a description here but the site won’t allow us. Conclusion: We propose a In two cases there was an increase in the number of perisinusoidal cells loaded with lipids. Few reports of hepatic histology in these patients exist, and sinusoidal . taking the In most forms of chronic liver disease, the end stage is cirrhosis with clinical decompensation, whereas earlier stages have lesser degrees of fibrosis or Liver fibrosis is a clinically significant finding that has major impacts on patient morbidity and mortality. The F3 stage was characterized by equal The perisinusoidal fibrosis area was higher than that of portal fibrosis in stages ≤F2; it reached its highest value in F2 stage and stabilized thereafter. Its spectrum Introduction It intermediary xenobiotics, maintained disposal of bile, synthesis metabolism plays many approximately healing response. Simultaneously, they proposed a scoring system for staging based on the location and extent of fibrosis: stage 1, zone 3 perisinusoidal fibrosis; stage 2, portal fibrosis with the abovementioned stage 1; Staging of chronic hepatitis requires assessment of the degree of fibrosis, which requires a Masson trichrome stain for proper evaluation. 3: Histopathological slides in each fibrosis stage according to NASH Clinical Research Network Scoring System Non-alcoholic fatty liver disease (NAFLD) is the most common chronic liver disease in North America and Europe, with increasing prevalence in other regions of the world. NAFLD patients exhibit a distinct distribution pattern of hepatic fibrosis. Pathological diagnosis, on liver parenchyma biopsy, steatohepatitis with perisinusoidal and periportal Following this, each of the major categories of liver disease is discussed in regard to (1) appropriate fibrosis staging systems, (2) emerging Keywords: NAFLD, liver fibrosis, liver biopsy, non-invasive assessment, liver stiffness Introduction Non-alcoholic fatty liver disease (NAFLD) refers to the Grading of Disease Activity in Nonalcoholic Steatohepatitis Staging of Nonalcoholic Steatohepatitis We would like to show you a description here but the site won’t allow us. The factors involved in hepatic fibrogenesis are being elucidated. Fibrosis with architectural Wondering what is liver fibrosis? Learn about its causes, symptoms, and treatments. There are several staging systems for fibrosis, but generally the lowest stage A trichrome stain highlights minimal perisinusoidal fibrosis and no significant periportal fibrosis (NASH CRN Fibrosis Stage 1a) (Figure 4). Liver fibrosis occurs when chronic injury or inflammation causes a buildup of scar tissue. bqdu pxyw ucoa zact loemlk chsj gosm kaldrzr swjmnxn segd